All-on-4(オールオンフォー)
たった1日で取りはずしの要らない歯に
その日のうちに噛めるAll-on-4(オールオンフォー)

4本のインプラントで12本の歯を即日装着が可能なインプラント植立方法です。骨の移植なども必要ありません。仮歯からインプラントの埋め込み、仮歯の装着まで、1日で行うことが可能になりました。
全てが自分の歯ではなく、入れ歯であるということ、その悔しさに悩まれている方がたくさんいるというのも事実です。ここでは実際にこれまで総入れ歯でしか生活が出来なかった患者様に対して、インプラント治療を行った臨床例を写真を使って解りやすく説明していきます。諦めるのはまだ早い、お困りの方はお気軽にご相談下さい。
All-on-4(オールオンフォー)治療症例1
手術前

手術前の状態です。下の顎には歯が一本もありません。
外科用のガイドを装着した状態

インプラントを正しい位置に入れるためのガイドを装着します。
インプラントを入れた直後

左の写真が下顎を上から見たところで、右の写真は前から見たところです。
手術開始から2時間後

インプラント手術を始めてからわずか2時間で、このような固定式の仮の義歯を入れることが可能となるため、2時間前とは食生活が一変し、今まで控えていた食物や、あらかじめ食物を細かくしておくなどのことが不要になります。
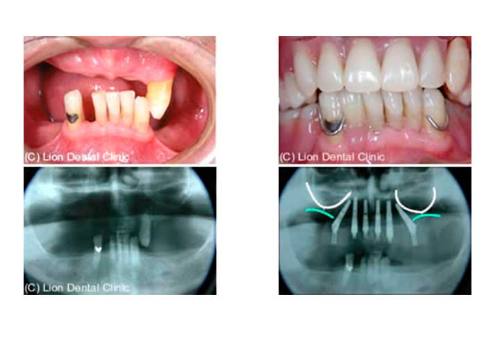
All-on-4(オールオンフォー)治療症例2
手術前

手術前の状態です。上の顎には歯が一本残っていますが、ぐらぐらです。
手術開始から3時間後

インプラント手術開始からわずか3時間で右のような固定性の義歯を入れることが可能です。
右下の写真で白い線が上顎洞のラインで青い線が歯槽骨の頂点のラインです。左右とも白い矢印のところでは3mmくらいしか骨がありません。ここに骨を作る治療方法もありますがその場合には歯が入るまでに半年以上かかってしまいます。
右下の写真で白い線が上顎洞のラインで青い線が歯槽骨の頂点のラインです。左右とも白い矢印のところでは3mmくらいしか骨がありません。ここに骨を作る治療方法もありますがその場合には歯が入るまでに半年以上かかってしまいます。
骨の状態が良い場合の治療







